2. BILDREIHE
 Die ersten Bakterien werden gesichtet!
auf einem CaPO4 Einschluß in einem Pyriteinschluß (Stub 31)

 
 
Dia 2069/31
Maßstabbalken: 10 mm
Vergr. 13 fach
Überblick vom Erzstück
 
Dia 2007/31
Maßstabbalken: 1 mm
Vergr. 46 fach
Im Fadenkreuz ein Calziumphosphateinschluß 
(wie die Punktanalyse unten zeigt) eingebettet 
in einem Pyriteinschluß.
EDAX
Punktanalyse 
von der Stelle oben im Fadenkreuz 

Die einzigen Elementen, die aufgezeigt werden, sind Phosphor und Calcium. Der Einschluß 
besteht vermutlich aus Calciumphosphat.

Dia 2002/31
Maßstabbalken: 10 µm
Vergr. 1600 fach
Der oben analysierte 
Calziumphosphateinschluß.
Dia 2005/31
Maßstabbalken: 10 µm
Vergr. 3200 fach
Man kann jetzt schon Bakterien erkennen.
!!
Dia 2079/31
Maßstabbalken: 1 µm
Vergr. 16000 fach
!!
Dia 2076/31
Maßstabbalken: 1 µm
Vergr. 16000 fach
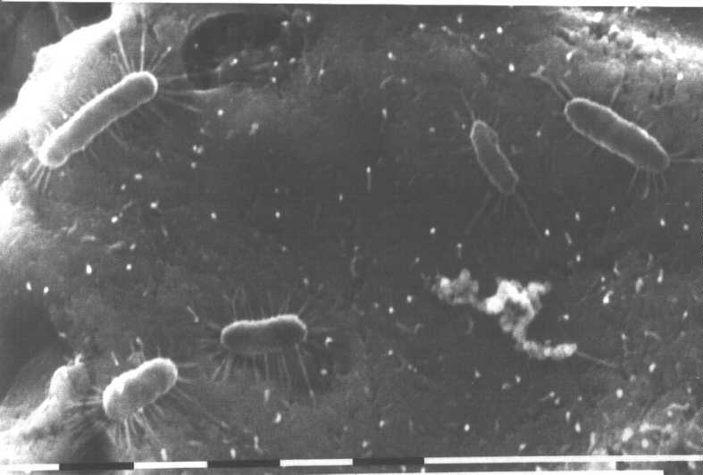
!!
Dia 3503/31
Maßstabbalken: 1 µm
Vergr. 55000 fach
!!!!
Diese Bilder gibt es auch in Stereo
 
Zurück zur 1. Bildreihe
Zur 3. Bildreihe