|
|
 |
Dia 1709/10
Maßstabbalken: 0,1 mm
Vergr. 840 x
|
 |
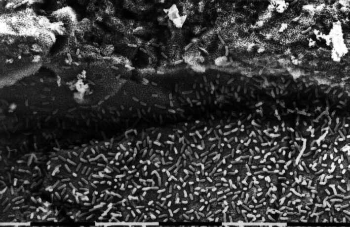
Dia 1710/10
Maßstabbalken: 10 µm
Vergr. 1700 x
|
 |
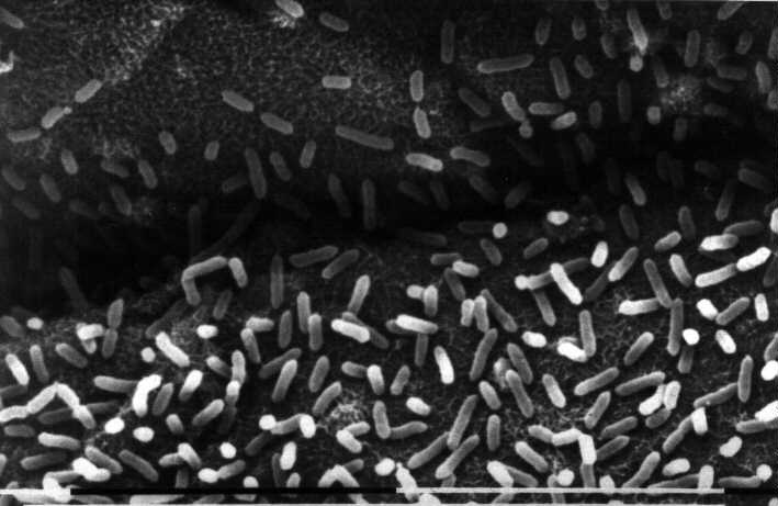
Dia 1713/10
Maßstabbalken: 10 µm
Vergr. 1700 x
|
 |
Dia 1714/10
Maßstabbalken: 10 µm
Vergr. 2800 x
|
 |
Dia 1716/10
Maßstabbalken: 10 µm
Vergr. 6700 x
|
 |
Dia 1717/10
Maßstabbalken: 1,0 µm
Vergr. 26000 x
In diesem Bild sieht man wie die Fäden von den Stäbchen in
den Fadenbezug am
Substrat übergehen. |
|
 |
Dia 1460/10
Maßstabbalken: 1,0 µm
Vergr. 12000 x
Eine andere Stelle am Erzstück.
Bergsteiger-Bakterien!
|
 |
Dia 1466/10
Maßstabbalken: 1,0 µm
Vergr. 25000 x
Das gleiche Bergsteiger-Paar wie oben
|
 |
Dia 1458/10
Maßstabbalken: 1,0 µm
Vergr. 25000 x
Dieser Bergsteiger scheint sich etwas
übernommen zu haben
|
 |
Dia 4109/10
Maßstabbalken: 1,0 µm
Vergr. 13000 x
Eine andere Stelle am Erzstück
|
|
Der ganze Untergrund ist von einem Netzwerk aus EPS bedeckt.
|
|
 |
Dia
4101/10
Maßstabbalken: 1,0 µm
Vergr. 13000 x |
 |
Dia
4101/10
Maßstabbalken: 1,0 µm
Vergr. 52000 x
Vergrößerter Ausschnitt
vom vorigen Bild |
 |
Dia
4082/10
Maßstabbalken: 10 µm
Vergr. 7000 x
Eine andere Stelle am Erzstück
|
Die folgende Bilder gibt es auch als
Stereopaare (Nr. 10)
aber leider nicht als Dias. |
|
 |
Dia
4083/10
Maßstabbalken: 1 µm
Vergr. 16000 x |
 |
Dia
4083/10
Ausschnitt vom vorigen Bild
Vergr. ca. 32000 x
|
 |
Dia 4080/10
Maßstabbalken: 1 µm
Vergr. 52000 x
| Das EPS bildet hier Fäden mit einer sehr deutlichen Struktur.
Obwohl man es in diesem digitalisierten Bild nicht sieht, im Original kann
man sehen wie dicht am Substrat wenigstens ein Faden sich noch Mal
sehr strukturiert gabelt. |
|