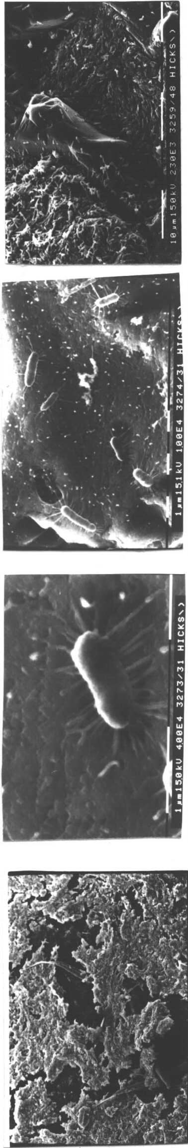
SEM-STEREOBILDER (12)
Thiobacillus ferrooxidans auf sulfidischem Erz
(und eine Nematode, die sich im Schleim meines Abflußrohrs wühlt!
Wie sie in diese Reihe reingekommen ist, frage ich mich auch!)